渗透性脱髓鞘综合征 

渗透性脱髓鞘综合征(osmotic demyelination syndrome,ODS),也称渗透性髓鞘溶解综合征(osmotic myelinolysis syndrome,OMS),是一种少见的急性非炎性中枢脱髓鞘性疾病,主要是由于慢性低钠血症时脑细胞已经适应了一种低渗状态,此时一旦给予迅速补钠,血浆渗透压迅速升高造成脑组织脱水而继发脱髓鞘。故有人提出这是一种“医源性结果”。Adams等于1959年首次详细报道了脑桥中央对称性非炎性的髓鞘溶解,并命名为脑桥中央髓鞘溶解症(central pontine myelinolysis,CPM),1962年人们发现髓鞘脱失病变尚可累及脑桥外的其他部位,如基底节、丘脑、皮质下白质等,并可出现相似的病理改变和相应的临床症状和体征,约占CPM的10%左右,称为脑桥外髓鞘溶解症(extrapontine myelinolysis, EPM),二者可以单独发生也可以合并出现,统称为ODS。此病尚属罕见,加上病因多而不确定,在临床各科室都有可能出现,突出的特点是临床症状与影像学表现不同步,往往有1~2周甚至更长的时间差,容易造成误诊、漏诊而延误病情,因此,此病例分析对提高临床医师对该病的认识、早期预防及诊治具有十分重要的意义。

1 病因

慢性酒精中毒、营养不良是比较肯定的病因,约占39%。而1986年后低钠血症的过快纠正成为第二大病因,约占21.5%,引起低钠的疾病有肝硬化、大量补液、吸毒、抗利尿激素分泌异常综合征、垂体手术、肺癌及肠癌、长期使用利尿剂等。同年报道的CPM17%由肝移植所致,使其成为第三大病因。尤其在肝移植后30天内,主要因素包括败血症、代谢紊乱、肝性脑病、缺氧、他克莫司和环孢菌素的使用等。烧伤、艾滋病、妊娠剧吐、中枢神经系统干燥综合征、系统性红斑狼疮、巨细胞病毒肝炎、EB病毒相关性噬血细胞综合征、过敏性休克、中暑、精神性烦渴、神经性厌食症、急性淋巴细胞白血病造血干细胞移植后、尿毒症血液透析后、鸟氨酸转氨甲酰酶缺乏所致的高血氨治疗后及抗利尿激素受体缺乏引起的ODS近几年被报道。最近认为叶酸缺乏、血磷酸盐减少也是其相关因素,药物(利尿剂、生长抑素、降糖药、抗抑郁药、巴比妥类、安妥明、肠外镁制剂、精氨酸过量、锂盐中毒等)可使健康患者突然发生ODS。

2 发病机制

目前该病的发病机制尚不明确,很多观点认为与BBB破坏、内皮细胞的渗透性损害及少突胶质细胞有害代谢致髓鞘中毒有关。Norenberg认为髓鞘毒性物质来源于富含血管的灰质(包括基底节和丘脑),这些灰质和临近的被大量灰质包围的白质(如脑回、内囊、外囊、最外囊等)相互作用,最终导致脱髓鞘,究竟是怎样的相互作用有待进一步研究。Riggs等认为渗透压和少突胶质细胞的分布比低钠的快速纠正更重要,因为无论是低钠还是高钠,血清渗透压的急剧变化更可能造成ODS的发生。Ashrafian和Darey认为是神经元和神经胶质能量供给不足,如慢性酒精中毒或肝病患者,多缺乏足够葡萄糖和肝糖原以维持胶质细胞Na+-K+ ATP酶泵的活性,导致脑内电解质紊乱,VitB1缺乏使脑对葡萄糖的摄入减少而使其加重。渗透压改变时神经元释放谷氨酸盐和其他兴奋性物质,Ca2+ 通道改变、细胞内Ca2+浓度升高引起细胞凋亡。Silver等提出与有机渗透物密切相关,低钠时不仅有电解质的改变,氨基酸(如丙氨酸、谷氨酸、牛磺酸、甘氨酸)和糖(如肌醇)等有机渗透物也发生改变,快速纠正低钠使细胞内电解质很快恢复,但无法很快纠正丢失的有机渗透物,导致细胞受损和脱髓鞘。在实验动物模型中发现,快速纠正低钠血症后,有机渗透物恢复最慢的脑区域是髓鞘脱失最严重的。酒精中毒及营养不良的患者一般都缺乏有机渗透物,他们便处在一个细胞皱缩的高危环境中,当血钠降低时临近血管的灰质更容易遭到损伤,使脑桥尤易被从血管中渗出的髓鞘毒性物质所损害。但上述机制都不甚明确,仍需进一步研究证实。

3临床表现及诊断

3.1 临床表现

依病灶的大小、定位,轻者可以毫无症状,重者会出现昏迷。CPM表现为四肢瘫和不同程度的脑干功能障碍,如假性延髓麻痹,偶有闭锁综合征、缄默症。EPM主要表现为运动障碍、肌张力障碍、帕金森综合征等,仅出现小脑体征者罕见。Hawthorne等最近报道了1例因过快纠正低钠血症后出现动眼神经麻痹、成像异常及旋转性眼震等中脑受损表现的病例。若存在快速纠正低钠的病史,则症状常在纠正后2~7天内出现。ODS常伴有精神症状,如行为异常、认知和情感障碍、紧张、情绪不稳、缄默、兴奋、妄想、幻觉等,提示额叶受损。

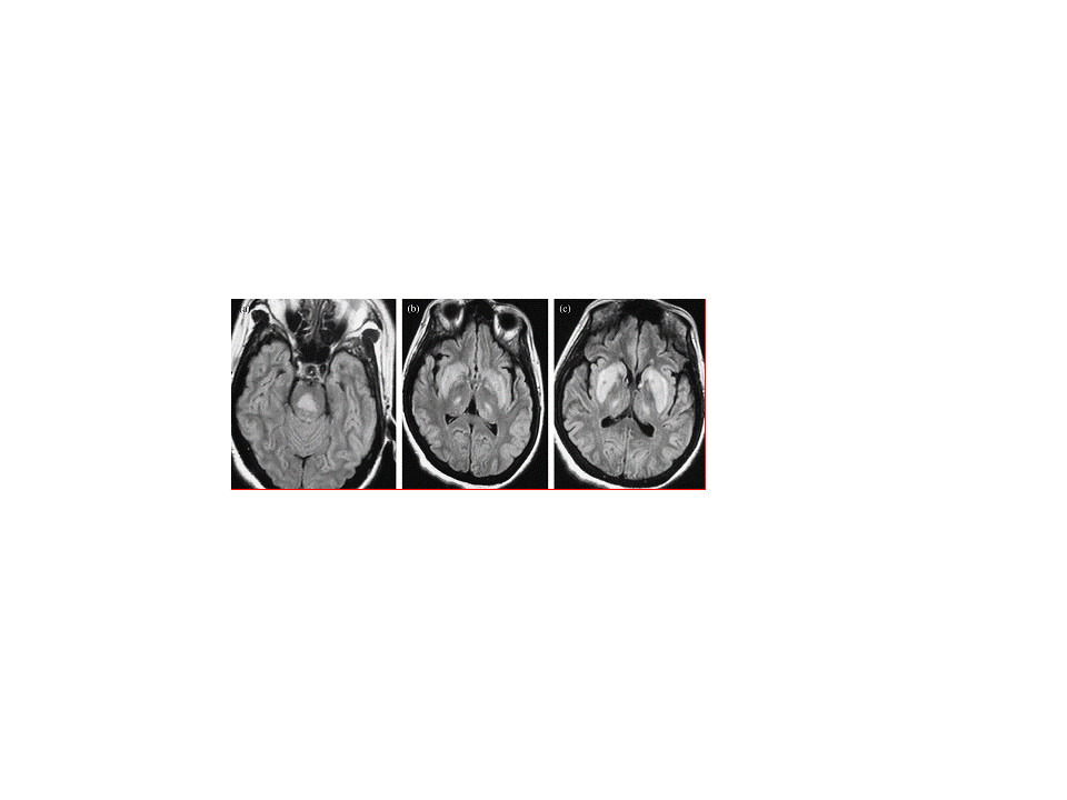
3.2 影像学特征

ODS在CT上表现为脑桥中央或脑桥外病灶处的低密度影,但CT不能反映疾病的真实程度,MRI能更好地反映病灶的数量和程度。早期可无异常,出现症状后1周DWI上可发现高信号。急性期表现为对称的T1WI低信号,亚急性期可能是由于内皮细胞受损所致的微出血而显示T2WI高信号。FLAIR显示病灶高信号更清楚,能更好地显示临近脑脊液的病灶,比如大脑皮质,应作为常规检查。也有一些报道发现皮质层及皮质下T1高信号,有的钆增强被强化,有的不被强化。脑MRI对本病具有十分重要的诊断意义,大约在发病2~3周时异常信号最为明显,所以结合病史及临床表现如果考虑ODS的诊断,在MRI检查正常的情况下,在出现症状后10~14天复查MRI是十分重要和必要的。有的病灶缩小可能提示水肿、脱髓鞘以及星形胶质细胞反应的减轻,但患者好转并不依赖于MRI的表现,有的可能终身不消失。MRI随诊可动态观察病灶及表面弥散系数(ADC)的变化,也可行MRS或PWI等检查以建立完整全面的影像学信息进而协助诊断、指导治疗、预测预后。

3.3 诊断

以往ODS的诊断主要靠尸检,随着MRI的广泛应用,使其生前诊断成为可能,早期诊断率大大提高,如果患者有慢性酒精中毒、低钠血症的过快纠正、肝移植及其他严重疾病等相关病史,突然出现假性延髓麻痹、闭锁综合征、缄默症、意识障碍等皮质脊髓束和皮质脑干束受损或运动障碍、肌张力障碍、帕金森综合征等基底节区受损的表现,应高度怀疑ODS,一旦出现对称性脑桥中央的T1WI低信号、T2WI和DWI高信号的三角形到蝙蝠翼形的病灶,则有CPM诊断意义,而两侧纹状体和丘脑,尤其是壳核和豆状核区的T1WI低信号和T2WI高信号提示EPM,还可对称性地累及胼胝体、皮质下白质、小脑或小脑脚、外侧膝状体、黑质等。总之,诊断的基础是临床怀疑ODS及MRI结果的证实。我们知道T1WI低信号和T2WI高信号可以出现在缺血、多发性硬化、肿瘤及代谢性疾病中,ODS呈对称性有助于鉴别。缺氧代谢性疾病也可呈对称性改变,详尽准确的病史十分重要。迟发性齿状核红核苍白球路易体萎缩症,在没有突出白质脑病而又有明显脑桥病灶时可见相似的改变,鉴别困难,该病多表现为小脑性共济失调、痴呆、舞蹈症等,病史有助鉴别。当病变累及皮质时需与皮质层状坏死鉴别,后者的MRI特征是皮质T1WI高信号且不被增强,慢性期时可见延迟的皮质萎缩,缺氧、梗死、痫性发作及吸毒是其主要原因,然而最近认为快速纠正低钠血症是其可能的第二大原因,需要仔细鉴别。

4 治疗                   

4.1 低钠血症

快速地纠正低钠血症导致ODS发生,故有人提出是一种”医源性”的结果,所以在此有必要对相关知识进行复习。低钠血症是指血清钠浓度低于135mmol/L。急性低钠血症为低钠血症48h内或血钠降低>0.5mmol/h,慢性低钠血症为48h以上持续低钠血症或血钠降低<0.5mmol/h。按血清钠浓度分为轻度(<125- 134 mmol/L)、中度(<120-124mmol/L)、重度(<120 mmol/L)。低钠的症状包括头痛、乏力、食欲减退和肌肉痉挛等,中枢性症状有精神萎靡、恶心、头痛、昏睡、意识模糊、痫性发作、昏迷甚至死亡,而且缺乏局灶的神经体征。慢性低钠血症可以毫无症状。

目前推荐的理想的纠正低钠的速度是不超过8mmol/L/d或0.5mmol/L/h,最初的补钠速度为1~2 mmol/L/h,低钠脑病患者建议用高渗盐,但有潜在的危险,至少每2h监测一次血钠,48h不应该超过20mmol/L。但无论什么情况下,无症状且神经系统未受累的患者无论血钠多少均不应输注高渗钠。低钾时应先纠正或与低钠同时纠正。慢性低钠血症纠正过快患ODS的风险高,需早期准确分析。

4.2 ODS的治疗                

目前尚缺乏有效治疗ODS的方法,已报道有甲状腺释放激素(TRH)、类固醇激素、血浆置换、免疫球蛋白及高压氧疗法等。一位13岁的女孩因硬膜外血肿手术治疗后产生低钠血症,诊断为EPM,Chemaly等使用TRH 0.6m g/d静脉滴注6周,使用后几天即有所改善,直至完全康复。1993年,一位65岁男性患者,因腱索断裂行二尖瓣置换术后并发高钠血症,出现四肢瘫及昏迷,经CT及MRI证实存在CPM,Konno等应用TRH治疗后神经系统症状显著改善,且未遗留任何神经功能缺损症状。可能的机制是促甲状腺素释放激素可以增强左旋多巴的作用和增加局部血液供应。

不管有无进行血浆置换,每天使用甲基泼尼松龙375mg静脉滴注治疗CPM有效。Nishino等报道了一例使用甲基泼尼松龙后CPM症状改善的患者。Finsterer等断言静脉滴注丙种球蛋白0.4g/kg,可以减少髓鞘毒性物质、形成抗髓鞘抗体及支持髓鞘再生,连用5天后有效。同时报道了一例48岁患者因纠正低钠后产生CPM,使用上述治疗后2天后症状即有改善。早期动物模型的实验证实使用类固醇激素如地塞米松能保持BBB的稳定性从而减轻水肿及少突胶质细胞的损害、减少血管外物质通过BBB而减少脱髓鞘的病灶、影响巨噬细胞的流入和活性等,而后者最终导致动物模型上的髓鞘溶解[1]。短期使用类固醇激素较小的风险决定了这是可行的治疗方法,而且也支持了渗透性内皮损害的假设。

血浆置换也用以治疗CPM,Bibl等报道了3例这样的患者。一例是29岁的酒精滥用后出现低钠血症的女性患者,纠正低钠后出现四肢瘫及共济失调。经过首先每天1次,4天后变为每周2次连续3周的血浆置换,交换血浆总量为24 700mL,四肢瘫在2个月后缓解,但严重的共济失调症状持续了约1年。第二例是一20岁患有神经性厌食症伴发低钠血症的女性,经纠正低钠约5天后出现嗜睡伴有四肢痉挛性瘫,5次总量为5 234ml的血浆置换后1个月患者能行走了。最后一例是因酒精滥用伴轻度低钠血症的30岁女性患者,诊断为CPM后给予7周总量为18 270ml的血浆置换后,轻度共济失调症状在12个月后消失。血浆置换治疗ODS可能的机制是清除了髓鞘毒性物质,而静脉应用免疫球蛋白可以减少髓鞘毒性物质及抗髓鞘抗体,并促进髓鞘再生。如果经过临床验证有效,那么将来的治疗方向可能会是基于免疫机制异常的假说。

但上述治疗均系个案报道,具体机制不详,没有随机的研究证实这些治疗模式的有效性,因此不推荐任何一种用于治疗ODS。目前建议临床以积极处理原发病、加强支持疗法、功能康复锻炼、良好护理等综合治疗为主。关键是要识别危险因素、防止过快纠正低血钠以预防神经功能受损,尤其是严重的慢性低钠血症。高危因素包括补钠超过10~15mmol/L/d、缺氧、绝经前的妇女及儿童患者等。有学者认为,ODS的病因很多,所以对于高危的患者要特别重视,如突然出现血钠的改变、肝移植、慢性酒精中毒及营养不良的患者等,这样可以避免诱发ODS。

6 预后

早期报道的CPM在住院3个月后几乎100%的死亡,近年来有一些遗留轻度神经功能缺损而存活或完全康复的报道。一般认为1/3可完全康复,1/3遗留一定的神经功能障碍,1/3死亡。从神经影像学的角度出发,MRI上病灶的消退时间长于病程。MRI异常存在与否,与本病预后无关。在随访中发现MRI信号可以减少、全部消失或者终生存在,而ADC值的异常与临床表现之间具有密切关系,故DWI有助于早期预测ODS预后。    

渗透性脱髓鞘综合征

相关文章: